Gebitsproblemen bij konijnen
Problemen met het gebit komen veel voor bij konijnen die als huisdier worden gehouden. Ze kunnen ervoor zorgen dat een konijn moeilijk kan eten en pijn heeft, maar kunnen ook problemen in de rest van het lichaam veroorzaken. De gevolgen kunnen groot zijn: een konijn dat pijn heeft en niet goed kan eten, krijgt vaak slechter werkende of zelfs stil liggende darmen. Dat kan levensbedreigend zijn. Ook kunnen door gebitsproblemen abcessen ontstaan die soms moeilijk te genezen zijn. Het is daarom belangrijk gebitsproblemen snel te herkennen en ze te laten behandelen.
In het kort
De tanden en kiezen van een konijn groeien altijd door. Ze slijten af tijdens het kauwen, op het voedsel en op elkaar. Normaal gesproken is er evenveel groei als slijtage. Maar als de slijtage verkeerd gaat, ontstaan er problemen.
- Als tanden en kiezen verkeerd staan, slijten ze niet goed af. Er kunnen doorgroeiende ‘olifantstanden’ ontstaan of haken op de kiezen. Een verkeerde stand kan erfelijk zijn.
- Als het konijn voeding krijgt met een verkeerde hoeveelheid calcium en vitamine D en een verkeerde verhouding tussen calcium en fosfor, ontstaat botontkalking. Daardoor komen tanden losser te staan, groeien ze verkeerd en slijten ze verkeerd af. Ook kunnen de wortels van kiezen doorgroeien in het bot en ontstekingen (abcessen) veroorzaken of de traanbuizen dichtdrukken.
- Verkeerd afslijten kan ook ontstaan als het konijn zijn gebit tijdelijk anders belast, bijvoorbeeld doordat hij ergens pijn heeft.
Als de kiezen verkeerd afslijten, kunnen er haakjes op de kiezen ontstaan die in het mondslijmvlies prikken en pijn veroorzaken. Als tanden verkeerd afslijten, kunnen tanden naar buiten gaan uitsteken of van binnen in de mond prikken. Problemen met het gebit kunnen zorgen voor pijn en daardoor ook van darmproblemen, kunnen oogproblemen geven of kunnen abcessen, ingekapselde ontstekingen, veroorzaken.
Uw konijn kan gebitsproblemen hebben als u een of meer van deze dingen ziet:
- minder, moeilijker of helemaal niet eten,
- gewicht verliezen,
- kwijlen,
- natte ogen,
- een bult rond de kaken,
- een uitpuilend oog,
- uitstekende tanden,
- tanden met dwarsribbels,
- een slecht verzorgde vacht,
- bij slecht eten: vaak ook kleinere keutels.
Als u denkt dat uw konijn een gebitsprobleem heeft, moet u naar de dierenarts. Die kan het gebit controleren en, als dat nodig is, tanden of kiezen slijpen. Dat moet vaak onder narcose. Laat te lange tanden niet knippen, want dat geeft snel beschadigingen die nog meer problemen veroorzaken. Kies een dierenarts die ervaring heeft met het behandelen van het konijnengebit. Tanden die steeds weer te lang worden omdat ze verkeerd staan, kunnen beter getrokken worden.
Na de behandeling heeft het konijn altijd een pijnstiller nodig en soms ook medicijnen die de darmen stimuleren. Als het konijn niet zelf weer gaat eten, heeft hij dwangvoer nodig.
Om gebitsproblemen te voorkomen is goede voeding heel belangrijk. Deze bestaat uit:
- Hooi en/of gras: het basisvoedsel met de juiste samenstelling.
- Geschikte groente waar het konijn langzaam aan gewend wordt.
- Pellets (brokjes; geen gemengd voer) met mate. Kies brokjes met veel vezels, een goede verhouding tussen calcium en fosfor en genoeg calcium en vitamine D (0,6 tot 1 % Calcium (Ca), 0,3 tot 0,4% fosfor (P), 600-800 IE/kilo vitamine D). Geef niet meer dan 20 gram voer per kilogram streefgewicht.
Print hier deze samenvatting uit.
Het konijnengebit
Het gebit van een konijn bestaat uit twee ondersnijtanden, twee bovensnijtanden, twee stifttanden (in de bovenkaak) en 22 kiezen (6 boven en 5 onder aan elke kant). Tussen de snijtanden en de kiezen is een lege ruimte. Er zijn geen hoektanden. De tanden en kiezen lopen nog een heel stuk de kaak in. Bij een konijn is het deel van de tand of kies dat in tandvlees en kaak zit, ook geglazuurd. Er is dus eigenlijk geen verschil tussen de kroon en de wortel en het gedeelte onder het tandvlees wordt ook wel ‘reservekroon’ genoemd. Voor de duidelijkheid gebruiken we hier toch de term ‘wortel’ voor het onderste deel van de tand of kies. Helemaal onderaan zit een open gedeelte met het einde van het wortelkanaal.

Röntgenfoto van de kiezen in de onderkaak. Rechts is de wortel van de snijtand te zien.
Dat konijnen niet tot de knaagdieren gerekend worden, komt onder andere doordat ze achter hun twee bovenste snijtanden nog twee kleine tandjes hebben staan, de stifttanden. Knaagdieren hebben die niet. De ondertanden van het konijn staan precies achter de boventanden en komen tegen deze stifttanden aan.
De snijtanden hebben een scherpe, beitelvormige rand. Ze worden gebruikt om lange voedseldelen af te snijden of om iets af te knagen. Daarnaast gebruikt het konijn ze ook om zijn vacht schoon te houden en om zich te verdedigen.
Op de kiezen van een konijn zitten harde richels van glazuur. De harde glazuurrichels van de kiezen worden gebruikt om het voedsel te kauwen.
Groeien en slijten
Net als bij knaagdieren blijven de tanden van het konijn het hele leven doorgroeien, zo’n 1,5 tot 3 millimeter per week. Ook de kiezen van het konijn groeien het hele leven door, met ongeveer 2 tot 6 millimeter per maand. Dat laatste is bij de meeste knaagdieren overigens niet het geval.
De tanden en kiezen van het konijn slijten af doordat het konijn knaagt en kauwt. Bij het eten bewegen de kiezen met een kauwende of glijdende beweging heen en weer ten opzichte van elkaar. Tussen de harde scherpe glazuurrichels wordt het eten kleiner gemaakt. De kiezen slijten af door harde deeltjes in het voedsel en door onderling contact. Het konijn kan ook actief zijn tanden en kiezen ‘bijslijpen’ door ze tegen elkaar te bewegen. Dat doet hij als hij niet aan het eten is, vaak als hij zit te rusten. Zo houdt hij zijn gebit scherp.
De groei en slijtage van het gebit moet bij een konijn in evenwicht blijven. Ideaal is als de groei net zo snel is als de slijtage.
De hoeveelheid slijtage van de tanden en kiezen hangt mede af van het type voer. Van voer met meer harde bestanddelen slijten de tanden en kiezen sneller. Dat kan liggen aan stoffen die in het voer zelf zitten (zoals silica-deeltjes, bijvoorbeeld in gras), maar ook aan bijvoorbeeld zanddeeltjes tussen het voer. Ook moet een konijn harder en langer op dit harde voer kauwen, waardoor er meer slijtage optreedt. Als er alleen zachter voer (bijvoorbeeld pellets/biks) wordt gegeten hoeft een konijn minder lang te kauwen en slijten de kiezen minder op elkaar.
Als het gebit meer slijt, gaan de tanden en kiezen ook sneller groeien. Zo wordt geprobeerd het gebit in balans te houden. Bij een dieet van veel slijtende stoffen kunnen de kiezen zelfs wel tot 12 millimeter per maand groeien. Pas als er erg veel slijtage is, kan de groei dit niet meer bijhouden. De groeisnelheid wordt behalve door het type voer ook beïnvloed door leeftijd en hormonen.
Het ontstaan van gebitsproblemen
Gebitsproblemen kunnen verschillende oorzaken hebben, en vaak hangen meerdere oorzaken samen. Hieronder worden verschillende oorzaken besproken.
Verkeerde stand van tanden en kiezen
Soms staan de tanden of kiezen van een konijn van zichzelf niet goed op elkaar, maar staan ze een beetje scheef. Daardoor slijten ze niet goed af. Een verkeerde stand kan erfelijk zijn. Als de snijtanden niet goed op elkaar aansluiten, bijvoorbeeld als de ondertanden voor de boventanden uitsteken, dan slijten ze niet af en blijven ze doorgroeien. Ze steken dan vaak naar buiten: dit worden ‘olifantstanden’ genoemd. De boventanden staan dan naar binnen, en groeien in de mond te ver door zodat ze in het verhemelte of de tong prikken. Uiteraard kan het konijn zo niet meer goed eten. Als de tanden te lang worden, kan ook de mond niet meer goed dicht en groeien de kiezen te ver door. Olifantstanden worden vooral gezien als de bovenkaak te kort is ten opzichte van de onderkaak. Waarschijnlijk is deze afwijking erfelijk, het is dus niet aan te raden te fokken met dieren die olifantstanden hebben. Dieren met een erfelijke verkeerde stand van de tanden krijgen vaak al op jonge leeftijd problemen.

Olifantstanden bij een konijn van veertien weken oud.
Botontkalking, o.a. door voeding met verkeerde hoeveelheden calcium, fosfor en/of vitamine D
Calcium is nodig voor de opbouw van botten en tanden. De hoeveelheid calcium die een konijn moet binnenkrijgen luistert vrij nauw.
Teveel calcium is schadelijk voor het konijn. Bij een konijn wordt calcium in de darmen in het bloed opgenomen en een teveel aan calcium wordt er daarna door de nieren weer uitgefilterd. Zo komt het teveel aan calcium in de urine terecht en dit kan een oorzaak van blaasgruis en blaasstenen zijn. Ook kan een overmaat aan calcium (en vitamine D; zie verderop) zorgen voor verkalking van zachte weefsels, onder andere in hart en bloedvaten en longen.
Maar te weinig calcium kan net zo schadelijk zijn. Als een konijn te weinig calcium opneemt, kunnen de botten ontkalken, ook de kaakbotten. Ook de opbouw van tanden en kiezen wordt dan verstoord. Deze botontkalking geeft ernstige gebitsproblemen (zie hieronder bij De gevolgen van botontkalking in de kaak).
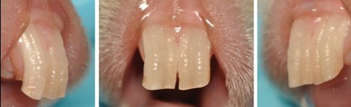
De hoeveelheid calcium (Ca) in het voer is daarvoor niet de enige factor die belangrijk is. Ook fosfor (P) en vitamine D (met name D3) spelen een rol. De opname van calcium in botten en tanden hangt namelijk samen met de hoeveelheid fosfor en vitamine D in het voer. De verhouding calcium:fosfor moet liggen tussen 1,5:1 en 2:1. Als deze verhouding verkeerd is, bijvoorbeeld als er meer fosfor dan calcium in het voer zit, of als er te weinig vitamine D is, kan botontkalking ontstaan en daardoor ook gebitsproblemen. Deze beginnen vaak met het doorgroeien van de kieswortels in het kaakbot. Een teken van een verkeerde calcium/fosforbalans zijn dwarse ribbels op de snijtanden of verkleuringen.

Ribbels op de tanden.
De aanbevolen hoeveelheden in de voeding voor konijnen zijn:
- een calciumgehalte (Ca) van 0,6 tot 1 %,
- een fosforgehalte (P) van 0,3 tot 0,4%
- een vitamine D gehalte van 600-800 IE/kilo.
Tijdelijk gewijzigde belasting van het gebit
Het is mogelijk dat het konijn tijdelijk anders gaat kauwen doordat hij pijn heeft aan kop of kaak, bijvoorbeeld door een ongeluk of door een ontsteking aan een tand of kieswortel. Ook kan een abces zodanig in de weg zitten dat er een afwijkende slijtage van tanden en kiezen ontstaat. Doordat het konijn zijn gebit scheef gaat belasten, slijten de tanden en/of kiezen scheef af. Het komt ook heel af en toe voor dat een kaakbreuk zorgt voor een verkeerde stand van de tanden of kiezen, bijvoorbeeld na een val.
Te weinig slijtage door te weinig kauwen en knagen?
Lang ging men er van uit dat voer met te weinig vezels en te weinig kauwen en knagen de belangrijkste oorzaak was van gebitsproblemen bij konijnen. Het gebit zou daardoor meer groeien dan afslijten, waardoor de tanden en kiezen te lang zouden worden. Uit onderzoek is echter gebleken dat de groei wordt afgestemd op de slijtage, voor zover dat mogelijk is. Zonder enige slijtage wordt de tand of kies langer, en als de slijtage heel groot is wordt deze korter. Bij normale, gemiddelde slijtage zoals optreedt bij de verschillende verkrijgbare konijnenvoeders past de groei zich echter aan zodat groei en slijtage in evenwicht zijn en de tand of kies ongeveer even lang blijft.
Het is daarom nog niet duidelijk welke invloed de hardheid van het voer precies heeft op het ontstaan van gebitsproblemen. Waarschijnlijk is de juiste samenstelling van het voer (calcium/fosfor/vitamine D) belangrijker dan de hardheid van het voer.
Overige oorzaken van gebitsproblemen
Behalve het verkeerd groeien en afslijten van het gebit kunnen er andere oorzaken zijn van gebitsproblemen. Soms kunnen tanden beschadigen door knagen op te harde voorwerpen (denk aan het knagen en trekken aan de tralies van een kooi) of door een ongeluk. Ook kunnen gebitsproblemen ontstaan doordat er iets vast komt te zitten tussen het gebit of een wond in de mond veroorzaakt, of doordat er ergens in de mond een abces ontstaat.
Het gevolg van botontkalking in de kaak
Als het kaakbot door botontkalking verzwakt is, beginnen de kieswortels door te groeien in het bot en kunnen uiteindelijk zelfs door het bot heen groeien. Het doorgroeien van de wortels is vaak een van de eerste dingen die fout gaan als de voedselsamenstelling niet goed is. Doorgroeiende wortels kunnen tegen de oogkassen drukken en de traanbuizen dichtdrukken, waardoor oogklachten en tranende ogen ontstaan. Ook kunnen ze abcessen (ontstekingen) veroorzaken. Het konijn gaat vaak anders eten omdat de kiezen gevoelig zijn. De tanden en kiezen kunnen losser komen te staan en zelfs krom groeien. Dan past het gebit niet meer goed op elkaar en slijt het verkeerd af. Doordat het gebit niet meer goed aansluit, verandert ook de positie van de snijtanden ten opzichte van elkaar en slijten deze minder goed af. De tanden en kiezen kunnen van structuur veranderen en uiteindelijk stoppen met groeien en ook afbreken. Het konijn kan dan niet meer kauwen en moet aangepaste voeding krijgen, maar kan daar soms nog langere tijd goed mee leven als er geen andere complicaties bijkomen.
Wat gebeurt er als de snijtanden verkeerd afslijten?
Snijtanden die niet goed afslijten, kunnen naar buiten de mond uit steken of kunnen naar binnen krullen. Daar beschadigen ze het slijmvlies. Als de snijtanden niet goed afslijten kan het konijn niet goed meer knagen en grotere of langere voedseldelen afbijten. Ook kan het konijn zichzelf niet meer goed poetsen, want de snijtanden worden ook gebruikt om de vacht te verzorgen. Te lange, niet op elkaar passende snijtanden kunnen er ook voor zorgen dat de kiezen verkeerd afslijten doordat het konijn minder kauwt en de kaken afwijkend worden gehouden ten opzichte van elkaar.
Wat gebeurt er als de kiezen verkeerd afslijten?
Als de kiezen om wat voor reden dan ook niet recht op elkaar afslijten, kunnen er scherpe randen of punten ontstaan, ook wel ‘haakjes aan de kiezen’ genoemd. Deze haakjes kunnen de tong en het tandvlees beschadigen, wat het konijn pijn bezorgt bij het eten. Doordat de kiezen in hun normale stand iets schuin in de kaak staan, ontstaan haakjes van de onderkaakskiezen meestal aan de zijde van de tong, terwijl die van de bovenkaakskiezen meestal in het wangslijmvlies steken.
Bovendien zorgen de haken ervoor dat het gebit niet zo kan bewegen als het hoort. Daardoor slijten de kiezen nog minder goed, ze worden langer en/of nog schever. Ook de snijtanden kunnen dan soms niet meer goed afslijten.
Er ontstaat dus al snel een vicieuze cirkel: verkeerd of te weinig afslijten zorgt voor haken en/of te lange kiezen, die zorgen voor nog minder of nog schever afslijten. Bovendien heeft het konijn pijn en moeite met eten en vermijdt vaak hardere voeding zoals hooi. Daardoor slijt het gebit minder, en bovendien is er dan door het selectiever eten kans dat het konijn een verkeerde verhouding van calcium en fosfor binnenkrijgt. Daardoor wordt het kaakbot nog zwakker, gaan de tanden en kiezen nog losser of schever staan en kunnen de kieswortels nog verder doorgroeien.
Bijkomende problemen: Abcessen
Een tand of kies is normaal rondom afgesloten door slijmvlies. Als er een afwijking van de stand of vorm van de tand of kies ontstaat, of als de kiezen komen los te staan, dan kunnen bacteriën onder het slijmvlies komen en een ontsteking veroorzaken. Zo’n ontsteking kan overgaan in een abces, een ingekapselde ontsteking.
Er vormt zich dan een holte met pus. Dat kan bijvoorbeeld ontstaan als een tand breekt of splijt, iets wat kan gebeuren als te lang doorgroeiende snijtanden worden geknipt. Als er een scheur ontstaat in de lengte van de tand of als de tand te kort afbreekt kunnen bacteriën in het open wortelkanaal komen en een ontsteking veroorzaken. Doorgroeiende of afgebroken kieswortels kunnen ook een abces veroorzaken. Tot slot kunnen ook wonden in de bek (door haken aan de kiezen of scherpe voedseldelen) en de holtes die ontstaan naast loszittende kiezen gaan ontsteken, waardoor een abces kan ontstaan.
Een abces is bij een konijn lastig te behandelen. De pus is heel dik en moeilijk te verwijderen. Een abces is soms te voelen als een bobbel aan de kaakranden of tussen de beide helften van de onderkaak, op de wang onder het oog en als het abces onder het oog zit kan het oog een stukje uit de kas worden geduwd en uitpuilen. In eerste instantie is aan het konijn nog niet veel te merken, maar als het abces groter en pijnlijker wordt zal het vaak slechter gaan eten.
Om een abces goed te behandelen moet de oorzaak worden gevonden en worden weggenomen. Met behulp van een bekinspectie, röntgenfoto’s en eventueel een CT scan wordt gezocht naar afwijkende tanden of kiezen. Eventueel kan worden onderzocht welke bacterie er aanwezig is. Het abces kan worden weggehaald of opengemaakt en leeggeruimd, waarna het abces langere tijd open moet blijven (marsupialiseren). Als ondersteuning wordt een geschikt antibioticum gegeven.
Bijkomende problemen: Traanogen
De traanbuizen van een konijn lopen van de ooghoeken naar de neus en voeren zo het traanvocht af. Doorgroeiende tand- of kieswortels kunnen soms tegen de traanbuis duwen waardoor deze niet meer goed doorloopt. Het konijn krijgt dan natte en zelfs tranende ogen. Als de tand of kies niet behandeld kan worden of het kaakbeen vergroeid is en de traanbuis blokkeert, is daar vaak weinig aan te doen. Men kan dan oogdruppels gebruiken om de symptomen wat te verlichten.
Het herkennen van gebitsproblemen
Een konijn met gebitsproblemen kan verschillende symptomen laten zien, zoals:
- slecht eten, bepaalde voeding niet meer willen eten of deels laten liggen (bijvoorbeeld geen of weinig hooi eten of hard voer weigeren)
- moeite met het eten van bladgroente of andere grote voerdelen: het konijn blijft er maar op kauwen maar krijgt het niet goed naar binnen. Dit gebeurt als de glazuurrichels op de kiezen weggesleten zijn waardoor het konijn de bladeren niet goed klein kan snijden.
- wel op het eten afkomen en zich dan ‘bedenken’ of na enkele brokjes stoppen (het eten doet pijn).
- gewicht verliezen (weeg en bevoel het konijn regelmatig)
- kwijlen (te merken aan een natte vacht bij de kin en/of verkleuring van de vacht rondom de mond)
- een tranend oog en/of een vieze neus
- een bult op de kaakrand, tussen de onderkaken of op de wang (controleer dit regelmatig door te voelen, want door het haar is een abces pas te zien als de bult erg groot is)
- een oog dat uitpuilt (het oog lijkt groter dan het oog aan de andere kant)
- uitstekende tanden of tanden die niet strak naast elkaar staan (te zien door voorzichtig de lippen iets op te tillen)
- tanden met dwarsribbels of verkleuring
- slecht verzorgde vacht
Door slecht eten en/of de pijn kunnen ook kleine keutels ontstaan. Als het konijn erg slecht of helemaal niet wil eten kan de darm uiteindelijk stil gaan liggen. Dat kan buikpijn geven, waardoor het konijn stilletjes in elkaar zit of juist languit of steeds anders gaat liggen (‘zijn draai niet kan vinden’) en alle voedsel weigert. Een stil liggende darm is een spoedgeval waarbij u contact moet opnemen met een dierenarts! Zie ook het Praktisch document over ‘Buikpijn bij konijnen’. Houd de keutels van het konijn altijd in de gaten zodat u bijtijds kunt ingrijpen.
Diagnose
Als u vermoedt dat uw konijn een gebitsprobleem heeft, is het verstandig om met het konijn naar de dierenarts te gaan. Deze kan de voortanden inspecteren en in de mond kijken met behulp van een otoscoop (een ‘oorkijker’) of eventueel met een video endoscoop. Daarmee zijn de kiezen te zien, behalve de kiezen die helemaal achterin de mond zitten. Deze zijn namelijk alleen goed zichtbaar te maken als het konijn onder verdoving is.
Naast het bekijken van het gebit is het ook belangrijk om het konijn verder te onderzoeken. Zo kan de dierenarts de darmen bevoelen en beluisteren en de lichaamstemperatuur opmeten. Bij vermoeden van een abces kan de kaak bevoeld worden. Bij traanogen kan de dierenarts controleren of de traanbuizen wel goed doorlopen.
Voor een betere diagnose kan het konijn onder narcose worden gebracht om ook de achterste kiezen goed te bekijken (en zo nodig aansluitend een gebitsbehandeling uit te voeren, zie hieronder). Ook kunnen röntgenfoto’s of een CT scan worden gemaakt als er een verdenking is van een abces of doorgroeiende wortels.
Behandeling van doorgroeiende tanden
Als een konijn snijtanden heeft die te ver doorgroeien, dan moeten ze ingekort worden. Er zijn verschillende manieren om dat te doen.
Vroeger werden de te lange tanden afgeknipt met een tangetje. Dat is echter niet aan te raden en is inmiddels een achterhaalde techniek. Het doet namelijk pijn, maar bovendien kunnen de tanden gaan splijten of breken, met kans op infecties en abcessen tot gevolg. Vaak ontstaat er door het knippen een scherpe rand aan de tanden die wondjes kan veroorzaken. Ook kan schade aan de tandwortel of het kaakbot ontstaan. Laat dus nooit de tanden van het konijn afknippen met een schaar of tang!
De tegenwoordig gebruikte en veel betere methode is om de tanden te slijpen. Dat gebeurt met een klein slijpschijfje of een tandartsboortje. Afhankelijk van het konijn kan dit zonder narcose of moet het konijn ervoor verdoofd worden. Met een slijpschijfje of boortje hoeft er geen kracht op de tand te worden gezet en bovendien kan de tand in de juiste vorm worden geslepen. Wel moet worden opgelet dat de tand niet te warm mag worden omdat de binnenkant (pulp) anders beschadigt. Dat betekent dat het heel voorzichtig moet worden gedaan of dat er gekoeld moet worden. Uiteraard moet ook worden opgelet dat de tong of lippen niet geraakt kunnen worden. Het afslijpen van de tanden moet meestal eens in de vier tot zes weken gebeuren. Wacht niet te lang want daardoor ontstaan nog meer problemen, zoals afwijkingen in de kiezen of wonden in de mond die kunnen ontsteken.
Als de tanden verkeerd staan en dus steeds opnieuw moeten worden ingekort, kan het beter zijn om de snijtanden te verwijderen. Dat kan dan het beste op jonge leeftijd gedaan worden zodat er zo weinig mogelijk negatieve effecten op de kiezen ontstaan door te lange tanden. Bovendien zijn de tanden en de kaak dan nog stevig van structuur. De snijtanden worden getrokken onder narcose. Dit moet worden gedaan door een dierenarts die daar ervaring mee heeft. De hele wortel moet worden meegenomen en die is erg lang. Bovendien is de kaak van een konijn kwetsbaar. Na afloop moet het konijn nog een aantal dagen pijnstiller krijgen, want als hij pijn heeft, stopt hij met eten en dat is gevaarlijk. Het kan ook nodig zijn het konijn een paar dagen dwangvoer te geven als hij nog niet zelf wil of kan eten.
Als de wortel helemaal verwijderd is, groeit de tand niet meer aan. Het konijn kan zonder tanden nog prima eten. Hij kan alleen zijn voer niet meer in kleinere stukjes snijden. Daarom moeten groente en hooi in het begin in kleine stukjes gesneden worden. Meestal leert het konijn later om ook grotere stukken zonder tanden op te eten en dan hoeven alleen harde groenten zoals wortels nog in stukjes gesneden te worden.
Als er problemen zijn met de snijtanden, moeten ook de kiezen gecontroleerd worden. Verkeerd groeiende tanden kunnen immers ontstaan door niet goed aansluitende kiezen, en als dit niet behandeld wordt blijven de tandproblemen terugkomen.
Behandeling van haakjes op de kiezen
Haakjes op de kiezen kunnen worden afgeslepen met speciale apparatuur. Soms is het mogelijk om kleine haakjes voorzichtig af te vijlen, als ze op de voorste kiezen zitten. In een enkel geval kan dat bij een rustig konijn zonder verdoving, maar in de meeste gevallen is het beter en veiliger om het konijn onder narcose te brengen. Vijlen kan het beste met een diamantvijl gedaan worden, niet met een metalen geribbelde vijl omdat de kans op beschadiging van het glazuur daarmee te groot.
Als het haakje groot is of op een plek zit die moeilijk bereikbaar is, dient het konijn onder narcose behandeld te worden. Zo kan de dierenarts er beter bij, heeft het konijn geen pijn en stress en bovendien voorkomt het dat de kaken van het konijn tegen zijn spierkracht in open gesperd moeten worden, wat de kaak kan ontwrichten. Narcose bij een konijn luistert nauw, dus kies een dierenarts die hier ervaring mee heeft. Ook is het belangrijk dat de dierenarts ervaring heeft met het behandelen van het konijnengebit, zodat de juiste methode wordt gevolgd en er niet onnodig een behandeling wordt uitgevoerd. De randen van de glazuurrichels op de onderste kiezen steken bij een gezond gebit namelijk al enigszins naar boven en naar binnen uit; dat kan door een dierenarts met gebrek aan ervaring al snel verward worden met afwijkende haken.
Met behulp van een tandartsboortje kunnen de kiezen worden geslepen, bijvoorbeeld om ze in te korten of haakjes weg te halen. Een beschermkapje om het boortje heen kan helpen het tandvlees en de tong te beschermen. Soms wordt ervoor gekozen om de hele kies af te slijpen tot op het tandvlees, bijvoorbeeld als de kies wat scheef is gegroeid, in de hoop dat deze daarna weer in een betere stand kan teruggroeien. Dat heeft echter niet altijd zin: als de wortels al zijn doorgegroeid of krom gevormd zijn, zal de bovenkant van de kies meestal niet meer recht teruggroeien. In een verder gevorderd stadium kunnen de kiezen al gestopt zijn met groeien, en dan krijgen boven- en ondergebit geen contact meer. Ook kan de binnenkant van de kiezen bloot komen te liggen, wat pijn kan veroorzaken.
Vaak is daarom aan te raden om per kies te werken en alleen haakjes te verwijderen en eventueel een te lange kies wat in te korten, in plaats van de hele bovenkant van de kies weg te halen. Het konijn heeft daar na de behandeling bovendien minder pijn aan en zal meestal snel weer eten.
Het konijn moet goed op temperatuur worden gehouden tijdens en na de behandeling, tot hij weer helemaal wakker is. Na een gebitsbehandeling is het bovendien nodig om het konijn een pijnstiller te geven, soms nog een paar dagen lang. Niet alleen kan een geslepen kies gevoelig zijn, maar ook kunnen er door de haakjes wondjes ontstaan zijn die pijn doen waardoor het konijn niet wil eten. Het is verder belangrijk dat een konijn snel na de behandeling weer voedsel binnenkrijgt, zodat zijn darmen weer actief worden. Het kan helpen om zijn favoriete voer voor hem klaar te zetten, maar als het konijn niet uit zichzelf gaat eten moet hij soms dwangvoer krijgen. Ook middelen die de darmen stimuleren kunnen nodig zijn.
Het kan nodig blijven het gebit van het konijn regelmatig te laten nakijken en behandelen. Uiteindelijk zullen kiezen die zijn aangetast of verkeerd gegroeid zijn, stoppen met groeien. Ze hoeven dan niet meer behandeld te worden. Ook is het mogelijk dat kiezen uitvallen.
Kiezen trekken
Soms kan het nodig zijn een kies te verwijderen. Met speciale apparatuur kan een ervaren dierenarts zo’n kies trekken. Dat moet erg voorzichtig gebeuren omdat de kaken van het konijn kwetsbaar zijn. Het is niet nodig om de tegenover liggende kies dan ook te trekken om te voorkomen dat die doorgroeit. Doordat de boven- en onderkiezen ten opzichte van elkaar verspringen, zal de tegenover liggende kies afslijten op de kiezen die naast de getrokken kies staan. Bovendien kan het ontbreken van tegendruk ervoor zorgen dat de tegenoverliggende kies niet verder blijft groeien.
Voer aanpassen
Als het konijn gebitsklachten heeft doordat hij voer met een verkeerde samenstelling krijgt, dient het voer te worden aangepast. Zorg voor voer met de juiste calcium-fosfor balans en de juiste hoeveelheid calcium en vitamine D. Geef nooit vitaminen- of mineralensupplementen zonder eerst met de dierenarts te overleggen, want een teveel aan deze stoffen is ook ongezond! Geef veel hooi zodat het gebit voldoende en op de juiste manier afslijt.
Een konijn waarbij meerdere kiezen zijn aangetast en niet meer groeien, heeft vaak aangepaste voeding nodig. Het kan nodig zijn het voer in kleine stukjes aan te bieden of eventueel speciale voeding met veel vezels die kan worden aangemaakt met water. Deze voeding wordt vaak gebruikt na een behandeling of een operatie om een konijn weer aan het eten te krijgen en de darmen te stimuleren, maar kan ook voor lange tijd gegeven worden als het konijn met zijn gebit zijn gewone voer niet meer kan bewerken.
Het juiste voer om gebitsproblemen te voorkomen
Voor het gezond houden van het gebit is de voeding van groot belang. Het moet de juiste calcium/fosfor/vitamine D samenstelling hebben en het gebit moet er voldoende door afslijten.
Hooi (en/of gras): het basisvoedsel
Uit veel onderzoeken is gebleken dat het eten van voldoende hooi belangrijk is voor de gezondheid van het gebit. Hooi en gras van goede kwaliteit hebben een goede verhouding van calcium en fosfor. Bovendien moet er flink op geknaagd en gekauwd worden. Het zorgt ook voor een juiste manier van afslijten van de kiezen. Ook om andere redenen is het belangrijk dat het konijn vezelrijke voeding zoals hooi krijgt: het zorgt voor een optimale darmwerking, die heel belangrijk is om het konijn gezond te houden. Van voer met te weinig vezels worden de darmen ‘lui’ en dat kan voor grote problemen zorgen. Ook om deze reden is hooi onmisbaar voor konijnen. Meer hierover leest u in ons Praktisch document ‘Buikpijn bij konijnen’.
Biks of gemengd voer?
Er bestaan verschillende soorten konijnenvoer: geëxtrudeerde biks, geperste biks of gemengd voer (ook wel muesli genoemd; hierin kunnen zowel geëxtrudeerde brokjes als geperste brokjes verwerkt zijn).

Geëxtrudeerde biks, geperste brokjes en muesli met daarin twee soorten brokjes.
Uit een onderzoek bleek dat konijnen die gemengd voer kregen, eerder kiesproblemen ontwikkelden dan konijnen die alleen hooi kregen of hooi en geëxtrudeerde biks. Dat gebeurde ook als de konijnen behalve gemengd voer ook hooi kregen.
Dat kan te maken hebben met selectief eten. Tarwezemelen, haver, mais en erwten, die vaak in gemengd konijnenvoer (‘muesli’) te vinden zijn, hebben een verkeerde calcium-fosfor verhouding: er zit meer fosfor dan calcium in. Een konijn dat gemengd voer krijgt en de bikskorrels laat liggen maar de granen, erwten en mais er uit eet, kan dus een verkeerde verhouding aan voedingsstoffen binnenkrijgen, zeker als het konijn niet genoeg hooi eet. Ook krijgen konijnen die selectief eten minder vezels binnen en kunnen ze te weinig vitamine D binnenkrijgen. In veel soorten gemengd voer zitten de mineralen en vitaminen vooral in de biks, maar dat is meestal ook het eerste dat konijnen laten liggen.
Bovendien blijken konijnen die alleen gemengd voer zonder hooi krijgen, snel te dik te worden.
Gemengd voer wordt daarom afgeraden voor konijnen. Als men toch gemengd voer wil geven, dan moet dit een goede samenstelling hebben, moet een kleine, afgepaste portie gegeven worden en moet men opletten dat het konijn het bakje helemaal leeg eet en niets laat liggen. Controleer daarbij ook tussen de bodembedekking want konijnen gooien de brokjes die ze niet lekker vinden er vaak uit! Geef er altijd vers hooi naast.
Beter is om het konijn een complete korrel te geven. Bij het gebruik van complete biks, geperst of geëxtrudeerd, kan het konijn niet selectief eten. Bij een goede konijnenbiks is de totale verhouding van calcium en fosfor en het gehalte aan vitamine D goed en het ruwe vezelgehalte hoog. Let daar dus op als u konijnenvoer koopt!
Is biks wel nodig?
Konijnen kunnen vaak ook prima op hooi van goede kwaliteit en gras leven, eventueel aangevuld met diverse groenten en plantenmateriaal zoals paardenbloemblad, braamblad en weegbree. Dit komt het beste overeen met de voeding van een konijn in de natuur. Omdat men echter vaak niet weet wat de kwaliteit van het hooi is en toch zeker wil weten dat het konijn alle voedingsstoffen en vitamines binnen krijgt, kan een kleine hoeveelheid biks worden gegeven. Grotere konijnen kunnen bovendien behoefte aan biks hebben om zo voldoende eiwitten binnen te krijgen. Dat geldt ook voor groeiende, drachtige of zogende konijnen.
Een uitgebalanceerd dieet
Een zo natuurlijk mogelijk dieet helpt gebitsproblemen te voorkomen. Een goede samenstelling van zo’n dieet is:
- onbeperkt vers hooi, liefst van verschillende soorten, en/of gras,
- verschillende geschikte groenten (zoals witlof, andijvie, wortelloof) en ander plantenmateriaal waar het konijn langzaam aan gewend wordt,
- eventueel aangevuld met een klein beetje complete biks met de juiste samenstelling (maximaal 20 gram per kilo lichaamsgewicht (streefgewicht) per dag).
De gelegenheid om buiten gras te eten kan gunstig zijn, niet alleen omdat gras de juiste samenstelling heeft en voldoende slijtage geeft maar ook omdat onder invloed van zonlicht vitamine D kan worden aangemaakt.
